How many bones are there in the human foot?

17 July 2024

What’s afoot?


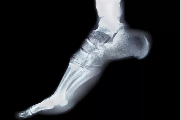
The human foot is made up of 26 bones. If you include the sesamoid bones, then there are 28 bones in the human foot. The sesamoid bones are the two tiny little bones found underneath the ball of the big toe. These bones are often excluded when counting foot bones.

The tarsus, metatarsus, and phalanges constitute the skeleton of the foot. In the rear part of the foot, you have the talus and the calcaneus. Moving forward from there, you will find the 3 cuneiform bones, and the cuboid. In the middle, you will find the navicular and towards the front you will find the metatarsals. After the metatarsals come the phalanges which are found in the toes.

All these bones fit neatly together to create three arches of the foot. The medial longitudinal arch, the lateral longitudinal arch and anterior transverse arch.

The structure of the bones of the human foot together with its alignment has been a key area of interest amongst physical anthropologists. The foot is believed to have played a key role in the development of striding bipedalism. Striding bipedalism, describes how we walk as modern humans today. It is a process in which weight is transferred in a very specific manner through the foot for us to be able to walk as well as we do. 

The ‘design’ of our foot bones can be said to be one of the key features that makes us human.

Mark Reyneker
B.T. Pod (SA), MSc (SA)
Podiatrist and Human Gait Specialist
Registered with the Podiatry Association of Singapore

Founder:
Family Podiatry Centre Pte Ltd
Family Podiatry Centre Sdn Bhd
Solescape Orthotics Laboratory
Solescape Shoes brand

Social Media Link

All rights reserved | Sitemap